Biological Concepts — Lab 6 online
HUMAN ANATOMY   A:
Cells and tissues;  Reproduction

Instructions:
Study all the visual information in this online lab, plus the accompanying explanations.
Be prepared to answer a few "check-in" questions to show that you were paying attention.




CELLS AND TISSUES


TISSUES (Part 1— General)
  1. EPITHELIAL TISSUE:             (Details in Part 2)
    • SURFACE EPITHELIA
    • GLANDULAR EPITHELIA
  2. CONNECTIVE TISSUE             (Details in Part 3)
     
  3. MUSCLE TISSUE            
    • Smooth muscle tissue
    • Cardiac muscle tissue
    • Skeletal (voluntary) muscle tissue
  4. NERVOUS TISSUE            
    • Cell types, etc.:
      • Neurons: unipolar, bipolar, multipolar
      • Neuroglia in brain: astrocytes (fibrous, protoplasmic), oligodendrocytes, microglia
      • Neuroglia in peripheral N.S.: ependyma cells, Schwann cells
      • Clumps of cell bodies = ganglia (PNS) or nuclei (in brain)
      • Bundles of axons = nerves (PNS) or tracts (CNS)
    • Tissue types:
      • White matter (myelinated)
      • Gray matter (unmyelinated)
Muscle tissue
Smooth muscle tissue.


Skeletal (striated) muscle tissue. Some fibers are cut
longitudinally, others transversely.


Muscle tissue striations.


Cardiac muscle tissue: In this slide and the one to the right,
notice the striations and the cell boundaries (intercalated disks) running
perpendicular to the fiber direction; also notice the centrally located nuclei.




Cardiac muscle tissue



Nerve cells and
nervous tissue

Cerebral hemispheres (cross-section)


Spinal cord: gray matter (left) and white matter (right)


Motor neuron cell bodies in ventral horn of spinal column


Cell body of motor neuron


Neuron cell body, with neurofibrils


Peripheral nerves in cross-section


Dendrites


Astrocytes


Fibrous astrocyte


Oligodendroglia


Basket cell (large, right of center) and granule cells (smaller,
with fewer branches)





TISSUES (Part 2)
EPITHELIAL TISSUES

DEFINITION: Tissues that develop in broad sheets


Simple squamous epithelium (on surface)


Simple cuboidal epithelium


Simple columnar epithelium


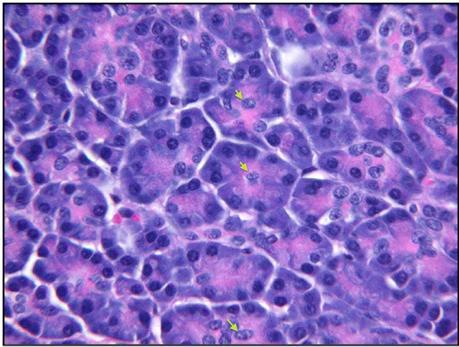
Glandular epithelium: pancreas
(exocrine, acinar)


Columnar epithelium (pseudostratified, ciliated)


Columnar epithelium (pseudostratified, ciliated)


Transitional epithelium (collapsed)


Transitional epithelium (stretched)


Stratified squamous epithelium from skin
(keratinized at the surface)


Stratified columnar epithelium





TISSUES (Part 3)
CONNECTIVE TISSUES

DEFINITION: Tissues with large amounts of extracellular material (called matrix )


Blood, showing various cell types


Mesenchyme tissue


Loose (areolar) connective tissue


Reticular connective tissue


Collagen fibers (wiggly bundles) and
fat cells (circular, empty-looking)


Dense, irregular connective tissue
(with collagen fibers going in many directions)


Dense, regular connective tissue
(with collagen fibers all aligned)





REPRODUCTIVE SYSTEM



























· · · • • • • • · · ·


Click here for the
Check-In questions





——     Rev. Aug. 2020     ——