Biology 101
Check-In for Lab 6
DUE no later than 12 noon on Thursday July 28 (Summer Session II)
or 8 p.m. on Friday October 14 (Fall semester).

In order to show that you studied this lab carefully, please email me at eminkoff bates.edu
with your NAME and the answers to these 5 questions:
(No need to repeat the questions; the answers alone will do.)


   
  • 1. What kind of tissue is shown in image A above? (Be very specific about the type of tissue; also tell where it comes from.)
  • 2. Image B above shows the cell bodies of what specific kind of cells?
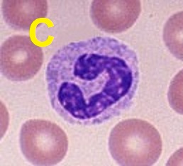
  • 3. What is the large cell in the center of image C called?
  • 4. Which female hormone reaches its peak a week or more after ovulation?
  • 5. What are the fiber bundles in the slide below made of?